口腔内カメラやエックス線で撮影した歯根破折症例の写真です。
歯根破折症例1 | 
|||
![]()  | 
![]()  | 
||
| 
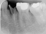
 エックス線写真  | 
 口腔内カメラで撮影  | 
||
| 
 近心から遠心にかけて  | 
|||
![]()  | 
![]()  | 
||
| 
 垂直に破折し分離  | 
 接着剤を塗って復元  | 
||
歯根破折症例2 | 
|||
![]()  | 
![]()  | 
||
| 
 エックス線写真  | 
 口腔内カメラで撮影  | 
||
| 
 右側上顎第一小臼歯、近心から  | 
|||
歯根破折症例3 | 
||||
![]()  | 
![]()  | 
 ![]()  | 
||
| 
 エックス線写真  | 
 口腔内カメラで撮影  | 
 口腔内カメラで撮影  | 
||
| 
 右側上顎第二大臼歯  | 
 垂直に破折し分離  | 
 接着剤を塗って再植した  | 
歯根破折症例4 | 
|||
![]()  | 
![]()  | 
||
| 
 エックス線写真  | 
 口腔内カメラで撮影  | 
||
| 
 右側上顎第一大臼歯が  | 
 近心から遠心にかけて  | 
歯根破折症例5 | 
|||
![]()  | 
![]()  | 
||
| 
 エックス線写真  | 
 口腔内カメラで撮影  | 
||
| 
 左側上顎第一小臼歯が  | 
 歯根部より近心から遠心に破折  | 



















